A 37-year-old resident of Lviv region almost completely cut off his left forearm with a chainsaw while cutting firewood. Despite the critical injury, surgeons managed to save the limb.
This was reported by the First Medical Association of Lviv.
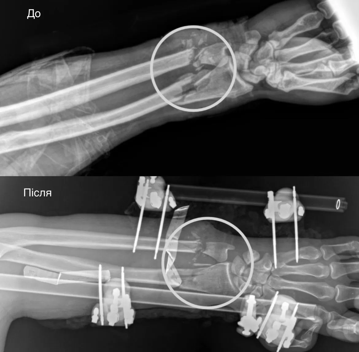
“While cutting wood, the chainsaw slipped out of the man’s hands and almost completely severed his left forearm. His wife helped apply an improvised tourniquet made of fabric and called an ambulance. The victim was urgently taken to St. Panteleimon Hospital, where he was immediately taken to the operating room. The injury was critical: completely severed arteries, damaged bones, tendons, muscles, and nerves. The arm was practically hanging by a thread,” said the medical association.
First, orthopedic traumatologists stabilized the broken bones of the forearm using an external fixation device. Then vascular surgeons restored blood supply by suturing the vessels.
“The complexity of the surgery lay in restoring all structures and, in essence, the very function of the arm. Without restoring blood supply, the arm would have been non-viable and would have had to be amputated. Only the coordinated, step-by-step work of a multidisciplinary team gave her a chance to save it,” explained Andriy Melnyk, head of the vascular surgery department.
In the third stage, surgeons restored the soft tissues: they sutured the tendons and muscles to restore flexion and extension functions. The nerves were prepared for further surgery, which is scheduled in a month or two. The procedure was completed with autodermoplasty—the defect was closed with the patient’s own skin.
The man is currently undergoing long-term rehabilitation. The skin graft has taken root, and the movement of his fingers is gradually being restored.


