Об этом в Facebook сообщил главврач больницы Сергей Рыженко.
Он ценой свой жизни спас родную дочь
Совместное решение – защищать Родину.
Николай, старший сержант, 48 лет из Кировоградской области.
Дочь – Ярослава, санинструктор той же части.
Внезапный артобстрел не оставлял шансов.
Николай своим телом накрыл дочь.
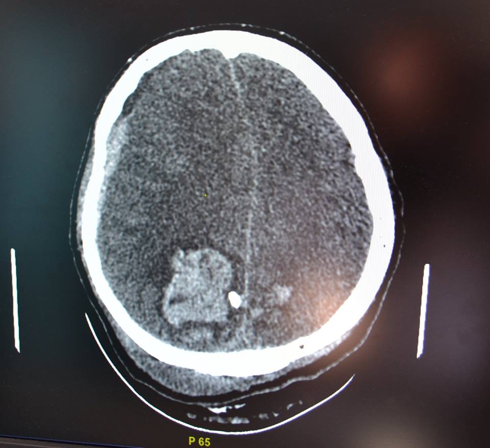
У него тяжелейшее осколочное ранение головы.
У дочери – акубаротравма, сотрясение.
Мина взорвалась в трех метрах от них.
Доставлены 25 мая в Мечникова.
Ярослава поправляется.
Отец перенес множество операций в Мечникова.
Сегодня ночью все лучшие реаниматологи во главе с Игорь Йовенкочетыре раза запускали его сердце.Еще один Герой стал жертвой, защищая будущее Украины и своей семьи.

