Чтобы не чихнуть, достаточно зажать нос рукой, однако такая практика чревата перфорацией глотки, показывают Уандин Янг (Wanding Yang) и ее коллеги – хирурги из университетского госпиталя города Лестера в Великобритании. Описание случая опубликовал медицинский журнал BMJ Case Reports.
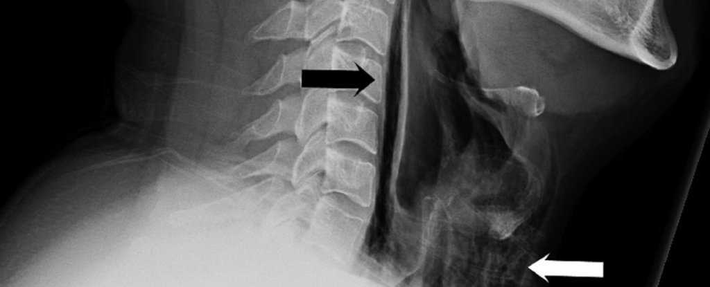
Симптомы начались после того, как мужчина сильно чихнул, несмотря на то, что старался сдержаться и для этого зажимал нос. Затем он начал жаловаться на острую боль, странный голос и припухлость шеи. Врачи обследовали мужчину, но не обнаружили никаких отклонений в легких и сделали рентгеновский снимок и компьютерную томографию. По снимкам стало ясно, что в шее и грудной клетке пациента имеется обширная эмфизема – скопление воздуха там, где его быть не должно. Диагноз гласил: спонтанный разрыв пищевода. После курса антибиотиков воспаление постепенно сошло на нет; во время лечения мужчина получал пищу через трубку, ведущую из носоглотки в желудок.
Самопроизвольная (спонтанная) перфорация глотки возникает редко; чаще причиной разрыва пищевода становится травма. За всю историю медицины было описано всего чуть больше 300 случаев спонтанного разрыва пищевода, многие из которых оказались летальными. Чихание, кашель и рвота способны спровоцировать разрыв мягких тканей, если давление на голосовые связки увеличивается резко и быстро. Авторы статьи отмечают, что зажимание носа при чихании опасно. Кроме разрыва пищевода оно может привести к эмфиземам в разных отделах грудной клетки, разрыву барабанной перепонки или стенок кровеносных сосудов головного мозга.

